The Daily Insight

Connected.Informed.Engaged.

news

Why does tachypnea happen

Written by Mia Fernandez — 0 Views

Tachypnea is rapid, fast, and shallow breathing. In this condition, a person’s respiratory rate is higher than the normal range (12-20 breaths per minute). It is caused by an imbalance between the respiratory gases leading to a decreased supply of oxygen and increased carbon dioxide in the blood.

What can cause high respirations?

  1. Fever or overheating. Share on Pinterest Fever or overheating are possible causes of heavy breathing. …
  2. Illness or infection. …
  3. Cardiovascular health issues. …
  4. Lung conditions. …
  5. Respiratory system obstruction. …
  6. Dehydration. …
  7. Anxiety. …
  8. Allergies.

What are 3 things that can increase your respiratory rate?

A number of factors can influence the respiration rate, such as: Age – younger children generally have higher oxygen demands and therefore breath faster. Pain – pain will cause an increase in respiration rate. Emotion – emotion will cause an increase in respiration rate.

Can tachypnea be normal?

Tachypnea, also spelt tachypnoea, is a respiratory rate greater than normal, resulting in abnormally rapid breathing. In adult humans at rest, any respiratory rate of 12–20 per minute is considered clinically normal, with tachypnea being any rate above that.

Why does hypoxia cause tachypnea?

The causes of tachypnea are (1) ventilation/perfusion mismatching with hypoxemia and sometimes hypercarbia driving the respiratory rate and (2) development of atelectasis in unventilated lung segments resulting in the superimposition of a restrictive process on an obstructive one.

What is the difference between dyspnea and tachypnea?

As noted, tachypnea is a term used to describe a rapid, shallow respiratory rate, but says nothing about what a person is feeling. With tachypnea, a person may be very short of breath, or in contrast, may not notice any difficulty with breathing at all. Dyspnea refers to the sensation of shortness of breath.

What causes tachypnea in heart failure?

Patients with heart failure, particularly when confined to bed, are at high risk of developing pulmonary emboli, which can increase the hemodynamic burden on the right ventricle (RV) by further elevating RV systolic pressure, possibly causing fever, tachypnea, and tachycardia.

Is 32 breaths per minute bad?

The normal breathing rate for an adult is typically between 12 and 20 breaths per minute. A respiration rate below 12 or over 25 breaths per minute while resting may signal an underlying health problem.

Which patients are most at risk for tachypnea?

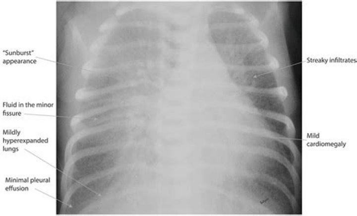
Patients with lung problems such as pneumonia, pleural effusion, pulmonary embolism, COPD, asthma, or an allergic reaction also present with tachypnea. [16] Congestive heart failure can also be a cause of tachypnea and, if not managed, can progress to worsening heart failure.

What happens if respiration is high?

This common issue happens when you breathe faster than your body needs to and you get rid of too much carbon dioxide. That throws off the balance in your blood. Hyperventilation can be caused by things like exercise, anxiety, or asthma. It can make you feel dizzy, weak, or confused.

Article first time published on

What are 4 factors that affect breathing?

  • Brainstem Rhythmicity Center. Breathing usually takes place outside of your conscious awareness. …
  • Blood Carbon Dioxide. The amount of carbon dioxide in the blood exerts a strong influence on respiratory rate. …
  • Blood pH.

What factors are most likely to affect the breathing rate?

The rate of breathing is affected by many chemical factors like the level of carbon dioxide and oxygen in the blood. The increase in levels of the carbon dioxide will lower the blood pH this will direct the medulla of the brain to increase the breathing rate to obtain more amount of oxygen in the body.

What activities can affect breathing rate?

When you exercise and your muscles work harder, your body uses more oxygen and produces more carbon dioxide. To cope with this extra demand, your breathing has to increase from about 15 times a minute (12 litres of air) when you are resting, up to about 40–60 times a minute (100 litres of air) during exercise.

How does sepsis cause tachypnea?

One of the most common manifestations of sepsis is increased respiratory rate. Tachypnoea (a hallmark of sepsis-induced adult respiratory distress syndrome) can be associated with abnormal arterial blood gases, typically, a primary respiratory alkalosis.

Why does metabolic acidosis cause tachypnea?

Metabolic acidosis from a range of causes can lead to tachypnea. As the body attempts to compensate for worsening acidosis, the respiratory rate increases to reduce the pCO2 and maintain a compensated physiological pH.

What causes Kussmaul breathing?

Causes: Kussmaul breathing is usually caused by high acidity levels in the blood. Cheyne-Stokes breathing is usually related to heart failure, stroke, head injuries, or brain conditions. Pattern: Kussmaul breathing doesn’t alternate between periods of fast and slow breathing.

Can anxiety cause paroxysmal nocturnal dyspnea?

According to Dr. Steven Wahls, the most common causes of dyspnea are asthma, heart failure, chronic obstructive pulmonary disease (COPD), interstitial lung disease, pneumonia, and psychogenic problems that are usually linked to anxiety.

What is hypercapnia?

Hypercapnia is a buildup of carbon dioxide in your bloodstream. It affects people who have chronic obstructive pulmonary disease (COPD). If you have COPD, you can’t breathe as easily as other people do.

How does pneumonia cause tachypnea?

When the immune system senses an infection, it sends chemicals into the blood. These cause inflammation throughout the body and can interfere with blood flow to vital organs. Sepsis may be the cause tachypnea if a person also has: had a recent illness or infection, such as pneumonia or a urinary tract infection.

Does tachypnea cause increased heart rate?

Common signs and symptoms of ARDS include: Rapid breathing (tachypnea) and heartbeat (tachycardia) – Healthy adults take 12 to 20 breaths per minute. More than 20 breaths indicate abnormally rapid breathing (tachypnea). A resting heart rate higher than the normal 60 to 100 beats per minute is called tachycardia.

How many breaths per minute does a dying person take?

As the brain dies, the respiratory system often responds with periods of no breathing (apnea), where the time between breaths becomes longer and longer. The respiration rate may decrease below 8 breaths per minute.

What is shortening of breath?

Shortness of breath — known medically as dyspnea — is often described as an intense tightening in the chest, air hunger, difficulty breathing, breathlessness or a feeling of suffocation. Very strenuous exercise, extreme temperatures, obesity and higher altitude all can cause shortness of breath in a healthy person.

What is Eupnea breathing?

Eupnea is normal quiet breathing that requires contraction of the diaphragm and external intercostal muscles. Diaphragmatic breathing requires contraction of the diaphragm and is also called deep breathing. Costal breathing requires contraction of the intercostal muscles and is also called shallow breathing.

How can I reduce tachypnea?

  1. Breathe through pursed lips.
  2. Breathe slowly into a paper bag or cupped hands.
  3. Attempt to breathe into your belly (diaphragm) rather than your chest.
  4. Hold your breath for 10 to 15 seconds at a time.

Is rapid breathing shortness of breath?

Is rapid breathing the same as shortness of breath? Excessively rapid breathing is called hyperventilation. Shortness of breath is also called dyspnea. Doctors will further classify dyspnea as occurring at rest or associated with activity, exertion, or exercise.

How does breathing rate affect co2 levels?

As a result, the rate and depth of respiration increase, allowing more carbon dioxide to be expelled, which brings more air into and out of the lungs promoting a reduction in the blood levels of carbon dioxide, and therefore hydrogen ions, in the blood.

What is the main stimulus that drives respiration?

Normally, an increased concentration of carbon dioxide is the strongest stimulus to breathe more deeply and more frequently. Conversely, when the carbon dioxide concentration in the blood is low, the brain decreases the frequency and depth of breaths.

What are the two main gases involved in respiration?

The function of the respiratory system is to move two gases: oxygen and carbon dioxide.

What factors does not influence respiratory rate?

The rate of respiration is normally not affected by increase of carbon dioxide concentration in the surrounding atmosphere up to 19%, but as the concentration increases from 10% to 80%, a progressive decrease in respiration occurs.

What other factors affect heart rate and breathing rate?

  • How to recognize healthy vital signs. A pulse is when our blood passes through an artery and this artery expands; it is a measurement of how many times our heart beats in a minute. …
  • Age. As we age many things change. …
  • Exercise. …
  • Drugs. …
  • Our Feelings.

Is 6 breaths per minute Normal?

The normal respiration rate for an adult at rest is 12 to 20 breaths per minute. A respiration rate under 12 or over 25 breaths per minute while resting is considered abnormal.